Exciting Update!
In addition to Echocardiograms, Pet Ultrasound Partners is now offering limited abdominal ultrasounds, which focus on specific areas of concern. We’re excited to announce that by Fall 2025, we plan to expand our services to include complete abdominal ultrasounds, offering a more comprehensive diagnostic option for your patients.
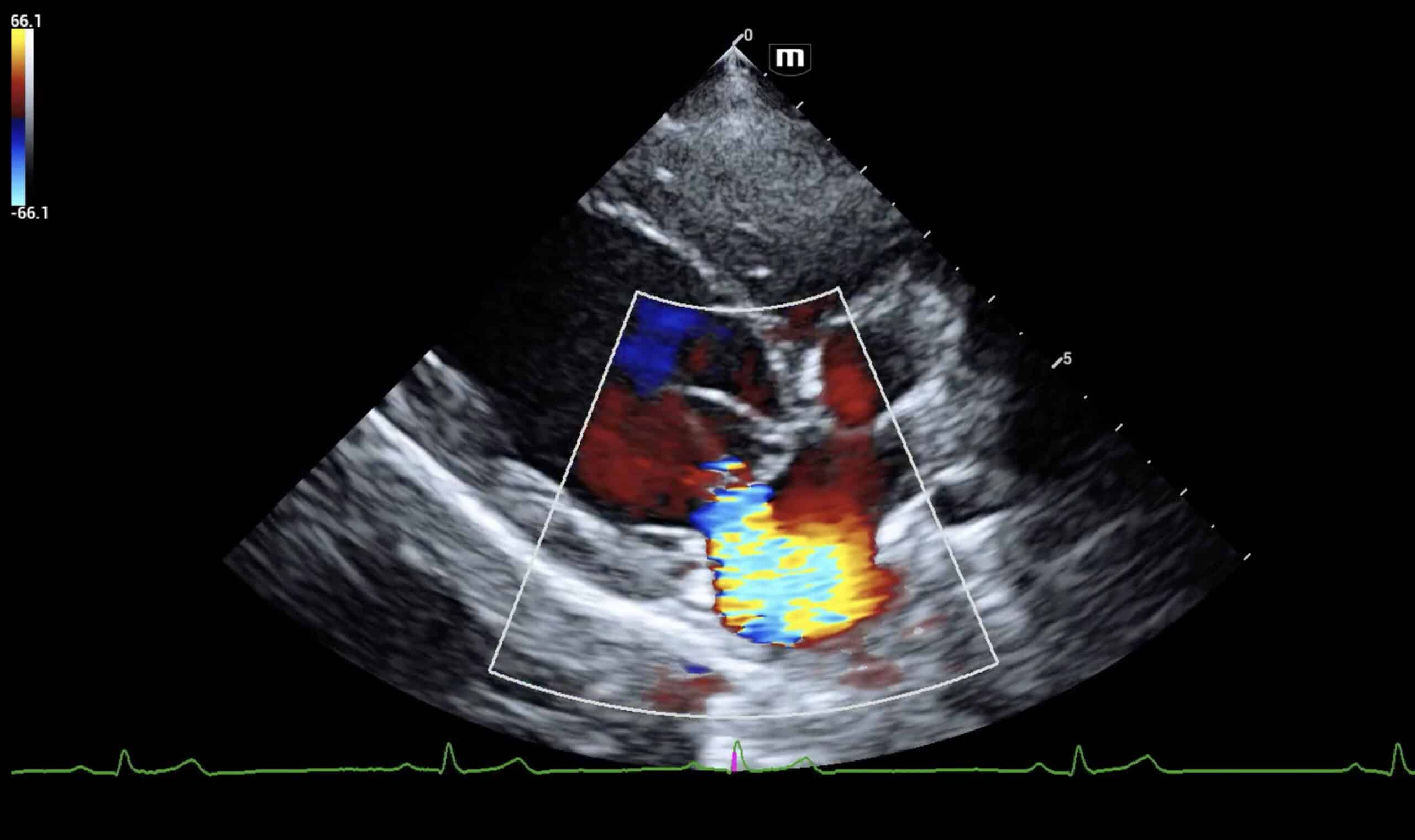
Bringing High-Quality Ultrasound Diagnostics Directly to Your Veterinary Clinic
Case Submission Form
About Pet Ultrasound Partners
We provide in-clinic veterinary echocardiograms and ultrasounds, delivering advanced imaging directly to your clinic. Our ARDMS-credentialed sonographers use state-of-the-art ultrasound equipment to perform detailed, non-invasive assessments. This mobile service eliminates the need for external referrals, reduces stress for pets and owners, and supports faster, more accurate diagnoses. Whether for symptomatic patients or routine screenings, our echocardiograms and abdominal ultrasounds help veterinarians make informed, timely treatment decisions—all without leaving the clinic.
The ARDMS (American Registry for Diagnostic Medical Sonography) credential is important because it represents a nationally recognized standard of excellence in diagnostic medical ultrasound. Here’s why it matters—especially in a veterinary setting:
- Verified Expertise
ARDMS certification demonstrates that a sonographer has passed rigorous exams in anatomy, physiology, pathology, and scanning techniques. While ARDMS is primarily for human sonography, its standards translate well to veterinary applications, especially for high-quality, accurate imaging.
- High-Quality Imaging
Accurate echocardiograms and ultrasounds depend heavily on the skill of the sonographer. An ARDMS-credentialed professional ensures clear, reliable images—crucial for diagnosis, treatment planning, and specialist interpretation.
- Trust and Professionalism
Having ARDMS-certified sonographers builds credibility and trust with veterinary clinics and pet owners. It signals that your business adheres to the same quality and ethical standards expected in human medicine.
- Reduced Diagnostic Errors
Improper technique or misinterpretation can lead to incorrect diagnoses. ARDMS credentials assure that the sonographer is well-trained to minimize such risks, ensuring better outcomes for patients.
Why Choose Pet Ultrasound Partners
Cost-Effective
SolutionWe provide affordable, high-quality mobile ultrasound services without the expense of specialty centers or added overhead, allowing you to offer advanced diagnostics in your clinic while helping pet parents avoid the higher costs of referral facilities
Discover Our Surgical ServicesConvenience &
AccessibilityBy providing mobile veterinary ultrasound in-clinic, you offer pet parents a more convenient and accessible diagnostic option, keeping patients in your clinic where pet parents feel more comfortable. This reduces the need for patients to travel long distances to specialty care facilities while reducing wait times and stress.
Learn More About Wellness ExamsImproved Patient
CareWe collaborate directly with veterinarians by providing in-clinic mobile ultrasound services that enhance diagnostic capabilities for pets, reducing the need for additional tests, and support quicker and informed decisions.
Learn More About Dental CareAccess to Board-Certified Veterinary Specialists
Access to veterinary specialists provides numerous advantages to both veterinary clinics and their clients. Having access to a specialist ensures that pets receive the most appropriate care, even if the condition is outside the general practitioner’s expertise. This builds long-term trust and loyalty among clients, as they feel their pets are receiving the best possible treatment.
Check Out Our Prevention Plans
Our Services
Pet Ultrasound Partners offers a range of high-quality, mobile ultrasound services to meet the diagnostic needs of veterinary clinics. Our team provides non-invasive imaging that helps veterinarians make accurate, timely decisions for better patient care. See the multiple ways that we can support your veterinary practice below!

Echocardiograms
Learn more about our echocardiograms
ECG Services
Discover our ECG servicesAbdominal Ultrasounds
What People Say About Us
Here’s what some of our valued clients have to say about their experience with Pet Ultrasound Partners and the difference our services have made at their clinics.
This is just placeholder text. Don’t be alarmed, this is just here to fill up space since your finalized copy isn’t ready yet. Once we have your content finalized, we’ll replace this placeholder text with your real content.
Beverly Williams
This is just placeholder text. Don’t be alarmed, this is just here to fill up space since your finalized copy isn’t ready yet. Once we have your content finalized, we’ll replace this placeholder text with your real content.
Beverly Williams
This is just placeholder text. Don’t be alarmed, this is just here to fill up space since your finalized copy isn’t ready yet. Once we have your content finalized, we’ll replace this placeholder text with your real content.
Beverly Williams
Frequently Asked Questions
We’ve gathered answers to some of the most common questions about our services. If you don’t see what you’re looking for, feel free to reach out to us directly!
Latest News and Blog
We’re dedicated to providing valuable insights and information to help veterinary professionals enhance patient care at Pet Ultrasound Partners. Explore our blog for expert advice on ultrasound services, pet health, and how advanced diagnostics can improve outcomes for your patients.
If You’re Curious, This Is Website Ipsum
This is just placeholder text. Don’t be alarmed, this is just here to fill up space since your finalized copy...
If You’re Curious, This Is Website Ipsum
This is just placeholder text. Don’t be alarmed, this is just here to fill up space since your finalized copy...
If You’re Curious, This Is Website Ipsum
This is just placeholder text. Don’t be alarmed, this is just here to fill up space since your finalized copy...
